Call Now
90 818 15 316
Logo
A unit of Corporate Diagnostic Centre Manjalpur, Vadodara
Mail Now
deeya28403@yahoo.com
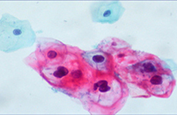
We have a facility to analyse all routine check up tests along with PAP Smear (Cervical Scrape Screening) check up

20

Years Experience

Deeya Pathlabs

It is glad to represent myself as a team leader of Deeya Path Labs. Deeya Pathlabs, Pap Smear Centre, Majalpur, Vadodara, has been operating since 2006. After gaining expertise in the practice of laboratory medicine, including cervical examination i.e. Pap smear test, the proprietor of the laboratory, Mr. Anilbhai Patel, who after completing his Master's in Clinical Laboratory Medicine (M.Sc) and taking residential training in 1995-96 at Tata Memorial Hospital, Mumbai, has been working continuously for the last 30 years, focusing on cervical cancer diagnosis and awareness with normal laboratory reports.

In addition to cervical examination and awareness for the most vulnerable people of the society, we are continuously working towards creating breast examination and awareness by linking up with leading hospitals of Vadodara.

Due to our expertise and experience in the subject, we are also providing honorary service as a member of the Board of Studies in universities in Vadodara, including Sigma University Vadodara and ITM Vocational University, Vadodara.

In the later years of life, when the source of income stops, especially the people of the villages, despite suffering from diseases due to lack of money, are unable to come to the city for examination. This is the bitter truth of the society. In order to be useful to such people, every month, 100 to 200 patients are examined for kidney diseases, diabetes and uterus free of cost with the help of various social service organizations. About 1500 to 2000 people are examined in this way by our organization free of cost. Trying to help the economically weak and ignorant people in this way, we have also started a mobile van laboratory in the year 2022, through which this facility has become more robust.

In today's fast-paced era, we are constantly growing in new technology and technical knowledge, so we should continue to strive to provide better facilities and justice to the patients, keep learning new things and build a healthy society.

Our Services

Gallery

Instruments

Rotator
Fully automated cell counter
Fully automated biochemistry analyser